عکسی ترسناک از مغز یک پیرزن 80 ساله
پیرزن 80 ساله ای که برای یک عکسبرداری ساده به پزشک مراجعه کرده بود، با دیدن عکس مغزش و حدس پزشکان شوکه شد.
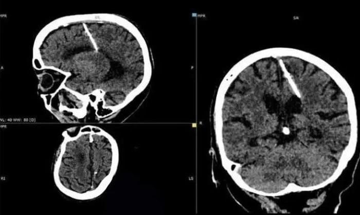
کشف سوزنی که 80 سال داخل مغز یک انسان
پس از انجام سی تی اسکن، یک زن 80 ساله از منطقه ساخالین روسیه متوجه شد که یک سوزن فلزی 3 سانتی متری در سمت چپ مغزش فرو رفته است. عکس هایی از نتایج سی تی اسکن این زن به تازگی توسط وزارت بهداشت ساخالین همراه با توضیحات تکان دهنده منتشر شده است که در واقع همین توضیحات دلیل وایرال شدن این خبر شد که جزئیاتش را در بخش سرگرمی نمناک میخوانید.
احتمالا والدینش می خواستند او زنده نماند !!
با در نظر گرفتن سن این زن، پزشکان بر این باورند که این سوزن توسط والدین خودش و بلافاصله پس از تولد او وارد مغز او شده است. هر چقدر هم که تکان دهنده به نظر برسد، چنین اقداماتی در روسیه جنگ زده غیرمعمول نبود.
والدینی که توانایی پرداخت هزینه مراقبت از نوزادان خود را در شرایط سخت جنگی نداشتند، سوزن های نازکی را از طریق فونتانل - شکافی در جمجمه که به تدریج با رشد کودک بسته می شود - وارد مغز نوزاد میکردند تا آنها را بکشند و حالا این پیرزن پس از 80 سال متوجه شد که از مرگ نجات یافته تا ثابت کند که مرگ و زندگی تنها دست خدواند مهربان است و بس.
جالب اینجاست طی این سالها، این پیرزن خوش شانس حتی تجربه یک سردرد ساده را هم نداشته که علتی باشد برای مراجعه به پزشک و عکسبرداری و....
